Curious Kids: How do x-rays see inside you?
- Written by Karen Finlay, Senior Lecturer Medical Imaging , CQUniversity Australia
This is an article from Curious Kids, a series for children. The Conversation is asking kids to send in questions they’d like an expert to answer. All questions are welcome – serious, weird or wacky!
How do x-rays see inside you? – Eva, age 9 from Marrickville
Have you ever played shadow puppets to make shadow pictures on the wall? When you do, your hand is stopping the light rays from the lamp reaching the wall. X-ray images are a little like that.

Try putting a torch up against your hand and seeing how some light passes through the skin of your fingers.
Some light doesn’t shine through. That’s because some of the energy has been removed from the beam and some has managed to make its way through your skin and you can see it.
Read more: Curious Kids: Why are fern leaves shaped the way they are, and are all ferns identical?
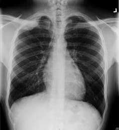
X-rays are like light rays, but the difference is that they can pass through more stuff. Skin and fat don’t block much of the energy in the x-ray beam. Muscle blocks more, but even more energy is blocked by bone, which is why you can see bones so clearly on x-rays.
An x-ray image shows shades of grey, which is just how much of the x-ray beam manages to get through your body. If the part is very dense (like bone) it will come up white, if it is less dense (like your lungs) it will come up as a darker shade of grey.

Radiographers (the people who work the x-ray machines) can control the amount and strength of the x-ray beam (just like you can make light dimmer or brighter) so that the body parts they want to see come up on the images.
X-rays are used in hospitals to help diagnose and treat many injuries and illnesses. Radiographers use x-ray images in the operating theatre to help guide the surgeons. There’s also a special type of scan called a CT scan. CT scans use lots of x-ray pictures to create fantastic 3D images of the body.
Having too many x-ray scans can be dangerous. They can damage the cells in your body (which is why the radiographer leaves the room while you get your x-ray done). The amount of x-rays used for each picture is tiny though, so if your doctor thinks you need an x-ray picture, don’t worry.
Sometimes the damage to cells is a good thing; a treatment called radiotherapy uses x-rays to kill bad cells (like cancer cells).
YouTube video explaining x-rays.X-rays were discovered in November 1895 by German physicist Wilhelm Roentgen – by accident! He was doing an experiment and was surprised when a screen on the other side of the lab glowed.
Wilhelm worked out that some invisible rays were causing it but had no idea what they were. That is why they’re called x-rays, with “x” meaning “I don’t know”!
Read more: Curious Kids: What started the Big Bang?
Hello, curious kids! Have you got a question you’d like an expert to answer? Ask an adult to send your question to us. You can:
* Email your question to curiouskids@theconversation.edu.au * Tell us on Twitter by tagging @ConversationEDU with the hashtag #curiouskids, or * Tell us on Facebook

Authors: Karen Finlay, Senior Lecturer Medical Imaging , CQUniversity Australia
Read more http://theconversation.com/curious-kids-how-do-x-rays-see-inside-you-85895